
02+03.11.2013
Von langer Hand geplant verbrachten wir mit einigen Familien zwei tolle Tage in Lignano… Das Wetter war teilweise nicht so prickelnd, doch dies tat der guten Laune bei Mensch und Hund keinen Abbruch… Die Welpen waren ob der »riesigen Sandkiste« und dem »wahnsinnig großem Pool« ganz aus dem Häuschen… Sie spielten und tollten miteinander und mit Mama Ibtisam bis zur Erschöpfung… Abends waren die Kleinen dann streichfähig und so mancher Welpe suchte einen warmen Platz auf Frauchens Schoß… Bilder davon hier

11.09.2013
Die Reise geht weiter… Wir haben einen sehr guten Kontakt zu den neuen Welpenbesitzern… Immer wieder treffen wir uns in kleinen Gruppen zu Spieldates… Die Welpen genießen diese Treffen und tollen ausgelassen mit ihren Geschwistern herum… Auch Mama Ibtisam ist ist immer gerne mit von der Partie, wenn es ums Laufen und Spielen geht. Fotos gibt’s hier...

19.09.2013
Das Welpennest ist nun fast leer… Nur mehr die kleine Ashanti ist da… Sie wird bei uns bleiben und an der Seite ihrer Mutter heranwachsen… Fotos der jungen Dame gibt es hier...

18.09.2013
Heute ist Ade-Nala als letzter Welpe aus dem Nest ausgezogen... Auch für sie hat sich ein liebevoller Platz bei einer tollen Familie gefunden... Somit hat unsere kurze, aufregende, anstrengende, aber unglaublich tolle Zeit mit den Welpen ein überaus glückliches Ende gefunden...
Ein letztes Mal möchten wir uns bei allen, die uns bei dieser Reise geholfen haben bedanken - und abschließend möchten wir allen neuen Welpenfamilien eine wunderschöne Reise mit den Kleinen wünschen. Mögen sich im Laufe dieser langen Reise viele unvergeßlich schöne Momente ereignen... Fotos von den Familien gibt es hier


23.08.2013
Die ersten Welpen haben das Nest verlassen und sind zu ihren neuen Familien gezogen… Die Anzahl der Welpen reduziert sich fast täglich... Für jeden Einzelnen geht es auf die erste große Reise und in einen neuen, und aufregenden Lebensabschnitt...

21.08.2013
Die Kleinen erobern ihre Welt und die Herzen der Besucher… Egal ob Schuhbänder, Torfhügel, Wasserschale oder Sandkiste – Nichts und Niemand ist vor der Rasselbande sicher… Neue Bilder gibt es hier…


Heute waren die Zuchtwartin des RRCÖ Frau Ing. Angela Dohnal und die Besitzerin des Vaters der Welpen Frau Ulrike Lichtenauer bei uns zu Besuch. Während Frau Ing. Dohnal die zweite Wurfabnahme bei den Welpen vornahm, erfreute sich Frau Lichtenauer am Spiel des Nachwuchses ihres wunderschönen Rüden Amani of Clemen´s K&K Lionscourt… An dieser Stelle sei den beiden Damen nochmals sehr herzlich für die vielen wertvollen Tipps und Ratschläge gedankt…

08.08.2013
Spiel und Spaß im Welpengarten stehen nun an der Tagesordnung… Die Kleinen erkunden neugierig die Welt, dabei machen sie täglich neue Erfahrungen… Bilder davon gibt es hier…


01.08.2013
Die Süßen entwickeln sich in Riesenschritten… Man kann ihnen beim Wachsen zusehen… Unerschrocken und quietschfidel haben sie ihren Welpengarten erobert… Die meisten von ihnen sind bereits vergeben und haben schon »ihre Menschen« kennengelernt… Wenn diese zu Besuch kommen, gibt es Spiel, Spaß und Kuscheln im Garten… Neue Bilder gibt es hier


22.07.2013
Wie die Zeit vergeht… Unsere »60 Pfoten« haben erst vor wenigen Tagen ihre süßen Augen geöffnet und begonnen ihre Umgebung zu erkunden…J Nun sausen sie sie schon recht flott durch die Gegend, spielen, schlafen und essen schon fast allein …-… zugegeben, etwas Übung brauchen sie noch; aber, den Kern der Sache haben sie verstanden…J Und – sie alle sind sooooooo süß…J Viel Spaß mit den neuen Bildern...hier


14.07.2013
Neues aus der Wurfkiste… Die Welpen haben ihre Äuglein aufgemacht und blicken neugierig in eine für sie fremde Welt… Sie tapsen zwar noch auf mehr oder weniger wackeligen Beinchen durch die Wurfkiste, sind teilweise aber schon ganz schön frech zu Mama und Geschwistern…
Unsere Ibtisam ist eine brave und geduldige Mutter. Obwohl die Welpen die ersten zwei Wochen ausschließlich gesäugt wurden, haben alle ihr Geburtsgewicht in den ersten 14 Tagen verdoppelt. Ab jetzt bekommen sie Joghurt zugefüttert... Eine Menge neuer Bilder sehen sie hier…


02.07.2013
Wie schnell die Zeit vergeht… Ibtisam und die Kleinen haben die Strapazen der Geburt gut überstanden. Die Welpen werden täglich gewogen und in drei 5-er Gruppen gesäugt… Sie entwickeln sich prächtig… Wenn sie nicht gerade trinken oder schlafen, fällt ihnen auch schon so mancher Schabernack ein… Neue Bilder sehen Sie hier…


28.06.2013
Die Welpen sind heute 2 Tage alt und es ist eine wahre Freude ihrem Treiben in der Wurfkiste zuzusehen. Sie entwickeln sich so erstaunlich schnell und man kann interessanterweise schon jetzt Unterschiede in ihren Charakteren erkennen…
Fernsehen fällt bei uns aus… Jede seltene Minute, in welcher wir Zeit zum verschnaufen finden, sitzen wir vor der Wurfkiste und bewundern dieses Geschenk…
Erste Fotos von den Welpen finden Sie hier…

26.06.2013
Es ist getan…!!! Ibtisam of Bumi Hills hat heute Nacht 15 gesunden und wundervollen Welpen das Leben geschenkt.
9 Hündinnen und 6 Rüden tummeln sich unter der Wärmelampe. Es ist ein lebhaftes Treiben… Fast 20 Stunden dauerte es von der Geburt des ersten bis zur Geburt des letzten Welpen. Ibtisam war die ganze Zeit so souverän und bewundernswert ruhig.
Vielen Dank an unseren Tierarzt Herrn Dr. Volker Moser für die physische Unterstützung der Hündin und die psychische Unterstützung der Besitzer… Vielen Dank auch wieder an Frau Lichtenauer und Frau Ing. Dohnal für die vielen wertvollen Tipps.
Mehr Fotos von den Welpen folgen bald…


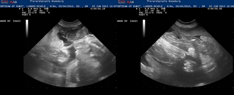
05.06.2013
Es gibt neue Ultraschallbilder… Wir waren heute wieder beim Tierarzt… Herr Dr. Volker Moser machte ein paar tolle Aufnahmen. Man kann mittlerweile die einzelnen Welpen gut erkennen, sieht die kleinen Wirbelsäulen und kann die kleinen Herzen beim Schlagen bewundern… Es ist so aufregend…!

Ein Video davon gibt es hier.

02.06.2013
Ibtisam verbringt eine glückliche Schwangerschaft... Der Bauch wächst, sie schläft viel und bereitet sich auf den großen Tag vor…


21.05.2013
Die Natur nimmt ihren Lauf… Unsere Ibtisam hat sich dazu entschlossen Mutter zu werden. Mit dem heutigen Tag haben wir es durch den Ultraschall unseres Tierarztes Herrn Dr. med. vet. Volker Moser schwarz auf weiß. Ibtisam ist tragend...!!! Es tummeln sich einige kleine RRs in Ibti´s Bauch, wachsen und warten auf ihren großen Tag… Wir freuen uns so sehr...

Danke an alle, die bis jetzt so geduldig ausgeharrt haben und auf ihre Welpen warten. Ein großes Dankeschön auch an Frau Lichtenauer, die uns oft mit gutem Rat zur Seite steht und an die Zuchtwartin des RRCÖ, Frau Ing. Dohnal, welche uns unsere vielen Fragen so geduldig beantwortet.
Herzlichen Glückwunsch an Amani of Clemen´s K&K Lionscourt, den Vater der Welpen zu seinen bevorstehenden Vaterfreuden…

15.05.2013
Ibtisam verändert sich ganz auffällig in ihrem Verhalten. Sie tobt mit ihren Freunden nicht mehr so wild herum, entwickelt komische Essensgewohnheiten, erbricht und zeigt alle Symptome einer Schwangerschaft… Bald werden wir es wissen.

29.04.2013
Happy Birthday, Ibti… Ibtisam feiert heute ihren 3. Geburtstag. Wir wünschen unserer tollen Puppe Alles erdenklich Liebe und Gute.


27.04.2013
Heute war es soweit. Im Kennel of Ka Ul Li´s Ridges haben Ibtisam of Bumi Hills und Amani of Clemen´s K&K Lionscourt Hochzeit gefeiert. Ibti wollte erobert werden… Lange haben sich die Zwei Zeit gelassen… Doch in einem vermeintlich unbeobachteten Augenblick haben sie sich verpaart. Nun drücken wir die Daumen und warten gespannt auf das erste Ultraschallbild…

26.04.2013
Überraschend schnell… Nachdem Ibti´s Progesteronspiegel rasant gestiegen ist, brechen wir nach Wien auf, um ihren Bräutigam zu treffen… Doch Ibtisam, müde von der langen und anstrengenden Fahrt, zeigt keinerlei Interesse an einer Verpaarung. Vielmehr nützt sie die Zeit um Amani kennenzulernen und um mit ihm zu spielen…

16.04.2013
Aleae jactae sunt. Heute haben wir das Ergebnis des Dilutetests erfahren. Damit steht fest, wer der Bräutigam von Ibtisam sein wird… Weiteres erfahren sie hier

12.04.2013
Ibtisam kann es offensichtlich nicht mehr erwarten… Mehr als ein Monat zu früh wird Ibti läufig…

11.03.2013
Der letzte Stein im Puzzle… Heute fuhren wir in die Tierklinik Hollabrunn, wo das tolle Ärzteteam um Herrn VR Dr. Schwarz bei Ibtisam ein CT der Ellbogengelenke machte, um über jeden Zweifel erhaben zu sein. 168 CT-Bilder wurden zu Spezialisten zur Befundung nach Spring, Texas/USA geschickt. Anne Bahr (DVM; MS; DACVR) bestätigt das Gutachten von Herrn Univ. Doz. Dr. E. Köppel in Bezug auf die Ellbögen. Das Ergebnis: keine Abnormitäten zu erkennen …ED 0/0 !!!…JJJ

10.03.2013
Ibtisam of Bumi Hills wurde für zuchttauglich befunden! Heute hat Ibtisam in Wien, am Hundeabrichteplatz Simmering, die Zuchttauglichkeitsprüfung mit Bravour bestanden. Unsere Puppe hat sich solche Mühe gegeben und wir sind sooooooooo stolz auf sie…(Fotos davon hier...)JJJ

12.02.2013
Die Dinge fügen sich zusammen... Heute wurde uns vom Österreichischen Kynologenverband (ÖKV) im Einvernehmen mit der FCI bestätigt, dass uns der Kennelname »... of Jamali Kianga« am 6. Februar 2013, zur alleinigen Verwendung geschützt wurde...JJJ

23.01.2013
Die Veterinärmedizinische Universität Wien bestätigt das Gutachten von Herrn Univ. Doz. Dr. E. Köppel in Bezug auf die Freiheit von Übergangswirbeln, HD-A und OCD Schulter o/o ...JJJ
